https://sputnikportal.rs/20251211/institut-gamaleja-prva-onkoloska-mrnk-vakcina-za-melanom-stize-vec-2026-godine-1193566857.html
Институт „Гамалеја“: Прва онколошка мРНК вакцина за меланом стиже већ 2026. године
Институт „Гамалеја“: Прва онколошка мРНК вакцина за меланом стиже већ 2026. године
Sputnik Србија
Онколошка вакцина за лечење оболелих од меланома, која ће бити примењена на људима, највероватније ће бити доступна већ 2026. године, изјавио је директор... 11.12.2025, Sputnik Србија
2025-12-11T13:00+0100
2025-12-11T13:00+0100
2025-12-11T13:00+0100
наука и технологија
наука и технологија
мрнк вакцина
онкологија
вакцина
русија
https://cdn1.img.sputnikportal.rs/img/07e9/0a/02/1190963341_0:90:1024:666_1920x0_80_0_0_377f52b2e1f6afe9ac8bdd4475b8ef84.png
Како је истакао, пробне серије мРНК вакцине против рака произведене су у специјализованом одељењу НИЦЕМ-а.Раније је руско Министарство здравља издало дозволу за употребу мРНК вакцине „Неоонковак“ за терапију меланома у клиничкој пракси. Вакцина је направљена у сарадњи НИЦЕМ-а „Н. Ф. Гамалеја“ и НМИЦ-а (Националног медицинског истраживачког центра) за онкологију „Н. Н. Блохина“, а производи је НМИЦ за радиологију.Погледајте и:
https://sputnikportal.rs/20251201/doktor-sergej-boljevic-primena-mrnk-vakcine-za-sada-samo-na-pacijentima-koji-boluju-od-melanoma--1193210048.html
Sputnik Србија
feedback.rs@sputniknews.com
+74956456601
MIA „Rossiya Segodnya“
2025
Sputnik Србија
feedback.rs@sputniknews.com
+74956456601
MIA „Rossiya Segodnya“
Вести
sr_RS
Sputnik Србија
feedback.rs@sputniknews.com
+74956456601
MIA „Rossiya Segodnya“
https://cdn1.img.sputnikportal.rs/img/07e9/0a/02/1190963341_10:0:1015:754_1920x0_80_0_0_4d60b15d67658ece39911523d72ddae4.pngSputnik Србија
feedback.rs@sputniknews.com
+74956456601
MIA „Rossiya Segodnya“
наука и технологија, мрнк вакцина, онкологија, вакцина, русија
наука и технологија, мрнк вакцина, онкологија, вакцина, русија
Институт „Гамалеја“: Прва онколошка мРНК вакцина за меланом стиже већ 2026. године
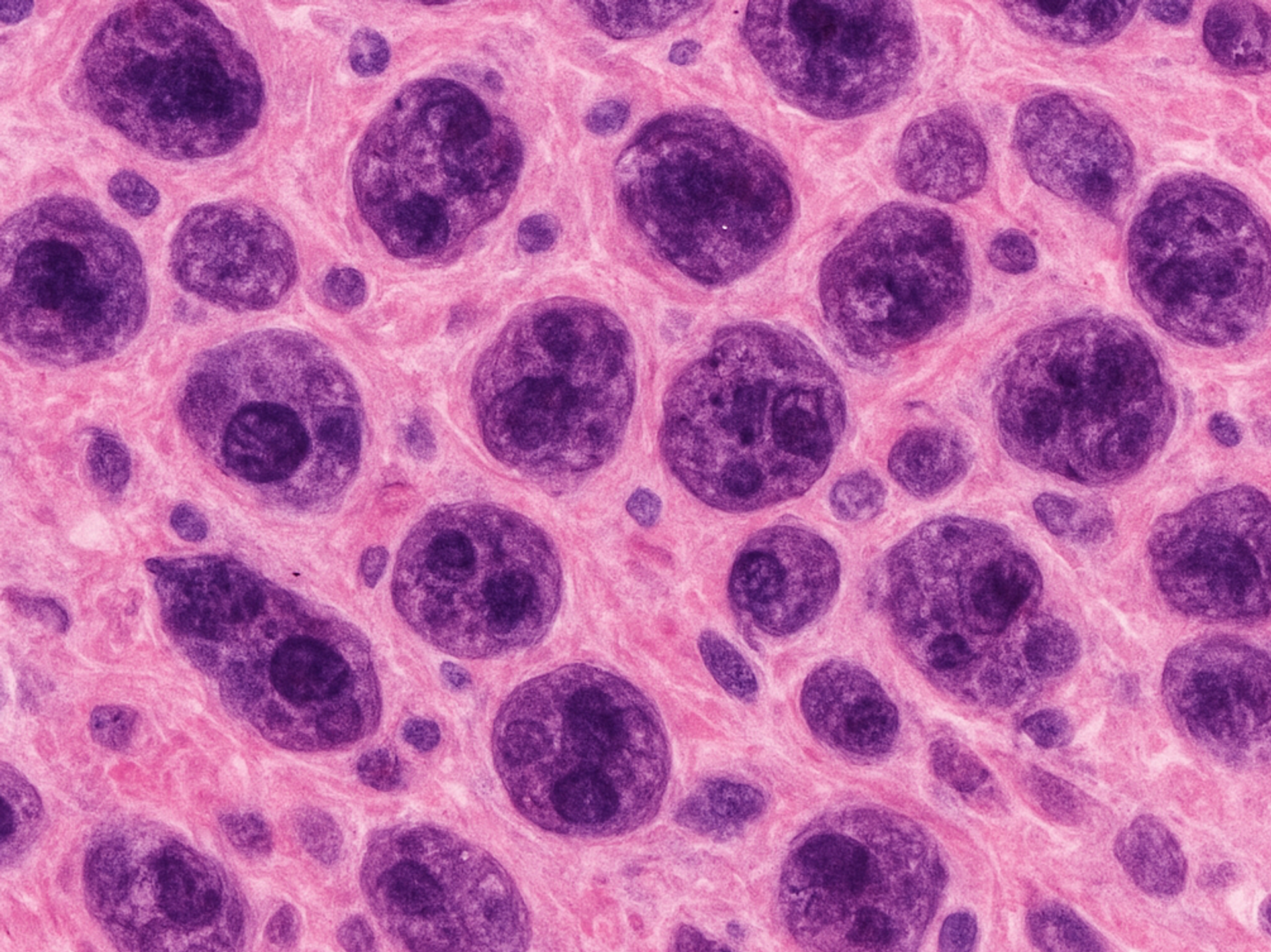
Онколошка вакцина за лечење оболелих од меланома, која ће бити примењена на људима, највероватније ће бити доступна већ 2026. године, изјавио је директор Националног истраживачког центра за епидемиологију и микробиологију (НИЦЕМ) „Н. Ф. Гамалеја“ Александар Гинцбург.
„Произвели смо три серије које се не дају људима, већ служе да се провери рад опреме и спроведу све потребне контроле, како би се показало да вакцина испуњава све параметре који се проверавају — што је и урађено. А вакцина намењена људима биће, по свему судећи, произведена већ идуће године“, навео је он.
Како је истакао, пробне серије мРНК вакцине против рака произведене су у специјализованом одељењу НИЦЕМ-а.
Раније је руско Министарство здравља издало дозволу за употребу мРНК вакцине „Неоонковак“ за терапију меланома у клиничкој пракси. Вакцина је направљена у сарадњи НИЦЕМ-а „Н. Ф. Гамалеја“ и НМИЦ-а (Националног медицинског истраживачког центра) за онкологију „Н. Н. Блохина“, а производи је НМИЦ за радиологију.